Zväčšené brucho u psa môže byť spôsobené viacerými vážnymi stavmi. Najčastejšie sa jedná o nahromadenie tekutiny v brušnej dutine (ascites), ktoré býva spojené s pravostranným srdcovým zlyhávaním. Mnohých prekvapí, že až tretina prípadov, kedy mačky prichádzajú do veterinárnych ambulancií s „opuchnutým bruškom“, je spôsobená tekutinou v brušnej dutine, nie obezitou. Ascites je komplexný problém, ktorý vyvoláva potrebu pochopiť jeho príčiny, spoznať prvé príznaky a vedieť, kedy je čas na veterinárnu starostlivosť. Zvýšené hromadenie tekutiny v brušnej dutine sa môže objaviť u akéhokoľvek zvieracieho pacienta, teda psa aj mačky. A je preto pre majiteľov i chovateľov užitočné, tieto príznaky rozpoznať a ihneď ich začať riešiť. Keď si predstavíte klasický nafukovací balónik, ktorý sa plní vodou - tiež sa rozpína do veľkých rozmerov - presne tak funguje ascites v bruchu. Dutina brušná obsahuje orgány (pečeň, slezinu, žalúdok, črevné kľučky a ďalšie) a tie sú všetky odtláčané prebytočnou tekutinou a môžu spôsobovať nepríjemné až bolestivé stavy. Napríklad tlak vody v abdomene tlačí na bránicu a spôsobuje sťažené dýchanie až „nápinky“ na zvracanie. Ascites je voľná tekutina, ktorá sa vznáša v bruchu psa. Brucho obsahuje veľa orgánov vrátane obličiek, čriev, žalúdka, pečene, sleziny, močového mechúra a ďalších, ale mimo jednej z týchto štruktúr je zvyčajne veľmi málo tekutiny. Keď sa objaví ascites, tieto orgány budú obklopené tekutinou, ktorá voľne pláva v bruchu. Ascites je zdravotným stavom, ktorý je nutné odborne liečiť.
Ascites je medzi orgánmi abnormálne nahromadenie tekutín. Nepredstavuje sám osebe chorobu, ale naznačuje zdravotný problém v organizme. O rozlišení medzi transudátom a exsudátom rozhoduje zloženie tekutiny. Transudát, charakterizovaný nízkym obsahom bielkovín, vzniká pri zmenenom tlaku v cievach alebo keď je hladina albumínu nízka. V prípade zápalu sa steny ciev otvárajú, umožňujúc preniknutie bielkovín a buniek do brušnej dutiny. FIP efúzia, zväčša viskózny a žltkastý exsudát s vysokým obsahom bielkovín, je typická. Rozlíšenie medzi transudátom a exsudátom má v klinickej praxi fundamentálny význam. Umožňuje nám identifikovať príčinu problému, či už je to súvisiace so srdcom, pečeňou, zápalovým procesom, lymfatickým systémom alebo úrazom.
Pri diagnostike zväčšeného brucha našich mačacích pacientov zohľadňujeme rýchlosť rastu obvodu, charakteristiky dýchania a reakciu na palpáciu. Plynatosť spôsobená potravou či stavom tráviaceho systému vyvoláva tympanický zvuk pri poklepaní. Obezita je charakterizovaná pomalým a rovnomerným ukladaním tuku v tkanivách. Obvod brucha postupuje v raste stabilne a bez prudkého nárastu. Keď zvažujeme možnosť gravidity, pozornosť venujeme postupnému zväčšovaniu brucha a zmenám v správaní mačky. V neskorších štádiách možno cítiť plody. Veľké brušné nádory alebo zväčšenie orgánov, ako je zväčšená slezina či pečeň, môžu mať podobné príznaky ako ascit. Ultrazvukové vyšetrenie nám umožní rozlíšiť medzi pevnou tkanivovou hmotou a kvapalnou efúziou. Pri ťažkostiach s dýchaním musíme rozlišovať medzi pleurálnym výpotkom a ascitom. Tekutina v hrudnej oblasti vedie k výraznému dýchavičnosti bez nutnosti masívneho zväčšenia brucha. Abdominocentéza a ultrazvukové vyšetrenie (USG) prinášajú definitívnu diagnózu. Analyzujeme získanú tekutinu, aby sme určili, či je to transudát, modifikovaný transudát alebo exudát.

Príčiny vzniku ascitu
Príčinou zväčšeného brucha však môže byť aj zväčšenie sleziny, pečene prípadne hormonálne ochorenia resp. nedostatok niektorých látok (väčšinou bielkovín ALB, GLOB, TP). V prípade ochorenia srdca na najčastejšie jedná o to že srdce nedokáže efektívne pumpovať krv, čo vedie k hromadeniu tekutín v tkanivách a telových dutinách. Väčšinou sa stáva pri stave tzv. portálnej hypertenzie, čo predstavuje zvýšený tlak krvi v riečisku vrátnicovej žily (lat. vena portae). Vrátnicová žila odvádza krv z orgánov brušnej dutiny, konkrétne z dolnej časti pažeráka, zo žalúdka, čriev, sleziny, pankreasu a žlčníka, do pečene. Z rôznych dôvodov môže dôjsť k obmedzeniu prietoku a krv potom namiesto vrátnicovou žilou odteká drobnými spojkami do systémového obehu, rozvíja sa tzv. kolaterálny obeh. Okrem toho, vzniká aj voľná tekutina v abdomene. Skôr povedané priamo srdcové zlyhanie spôsobuje veľmi častý ascites u starších pacientov. Choré srdce nezvláda svoju funkciu, zväčšuje sa a pracuje rýchlejšie (ale neefektívne) a dochádza tak ku kumulácii tekutín v abdomene. U známeho ochorenia tzv. FIP (felinná infekčná peritonitída) k zápalu pobrušnice dochádza vtedy, keď sa vplyvom infekcie poškodí a zapáli výstelka brušnej dutiny. Ide o závažné infekčné vírusové ochorenie mačiek spôsobené mačacím koronavirom. Postihuje hlavne mačiatka do dvoch rokov veku a potom staré mačky. V závislosti na úrovni bunkovej imunity zvieraťa existuje ochorenie v dvoch formách suché a vlhké. Iba u tej vlhkej formy vzniká ascites v brušnej dutine. Nahromadenie vody v bruchu spôsobí primárne ochorenie pečene, zápal brušných orgánov, onkologický proces v danej oblasti, ale taktiež choroby srdca. Najčastejšou príčinou je poškodené tkanivo orgánu pečene, ktoré blokuje prietok krvi portálnou žilou, ktorá transportuje krv z tráviacich orgánov do pečene. Porucha funkcie pečene v kombinácii s portálnou hypertenziou (zvýšený tlak v portálnej žile) vedie k vytláčaniu tekutiny cez cievne steny do brucha. Brucho sa následne napĺňa a zväčšuje. Okrem závažných ochorení pečene sa ascites vyskytuje i pre iné príčiny a rizikové faktory. Medzi nádory patriace do brušnej dutiny počítame hepatocelulárny karcinóm, lymfóm a karcinomatózu peritonea. Iné príčiny nahromadenia tekutín zahrňujú straty albumínu v dôsledku nefrotického syndrómu a protein-losing enteropatie. Z rozhovoru s majiteľom často vyplývajú potenciálne rizikové faktory. Mačiatka z chovov s vyšším vyskytom FIP sú viac ohrozené. Staršie mačky čelia vyššiemu riziku vzniku nádorov, ktoré môžu spôsobiť nahromadenie tekutiny v brušnej dutine. Anamnéza vrátane nedávnych cestovaní, úrazov, kontaktu s toxínmi alebo užívania liekov, ako sú NSAID, môže poskytnúť kľúčové informácie. Tieto údaje nám umožňujú zúžiť diagnostické možnosti a definujú smerovanie potrebných testov. Problémy s pečeňou: Portálna hypertenzia je jedným z druhov pečeňových problémov, ktoré bežne spôsobujú ascites u psov. Voľná tekutina, ktorá sa vyskytuje v dôsledku problémov s pečeňou, zvyčajne vyzerá podobne ako voda a je spôsobená problémami s cirkuláciou a nízkymi hladinami bielkovín v tele. Vnútorné krvácanie: Ak bol traumatizovaný vnútorný orgán, mohlo by dôjsť k vnútornému krvácaniu. Táto krv sa môže hromadiť v bruchu. Prasknutie močového mechúra: Ak sa močový mechúr nedokáže normálne vyprázdniť alebo je traumatizovaný, môže prasknúť a spôsobiť hromadenie moču v bruchu. Peritonitída: Peritonitída sa vyskytuje, keď sa výstelka brušnej dutiny zapáli v dôsledku infekcie. Z toho môže vzniknúť ascites. Rakovina: Ak rakovina spôsobí zápal brušnej výstelky, môže spôsobiť ascites. Ascites môže byť spôsobený krvácajúcim nádorom alebo problémami s krvným obehom. Srdcové zlyhanie: Podobne ako problémy s pečeňou môžu spôsobiť ascites, srdcové zlyhanie môže viesť k problémom s obehom a viesť k ascitu. Toto je pomerne častý dôvod ascitu u psov. Problémy s obličkami: Ďalším častým dôvodom, prečo sa u psa môže vyvinúť ascites, je dysfunkcia obličiek. Je to kvôli strate bielkovín cez obličky u psa s problémami s obličkami.

Príznaky ascitu
Pes môže mať zväčšené, napnuté brucho, môže byť apatický, mať zníženú chuť do jedla a ťažšie dýchať. Prvé indicie odhalíme pri pozorovaní mačacieho bruška. Môže pôsobiť zväčšene, napnuté alebo vyklenuté, pričom často naberie „hruškovitý“ profil. Pri pohybe sa brucho evidentne húpe zo strany na stranu. Tekutina, ktorá sa hromadí a tlačí na bránicu mačky, vedie k dýchavičnosti. Zaznamenáme zrýchlené dýchanie, prípadne dýchanie s otvorenými ústami, a zrejmý nedostatok záujmu o hru. Medzi menej nápadné, avšak významné varovné signály patrí strata chuti do jedla, nevysvetliteľné chudnutie aj napriek zväčšenému bruchu a zvýšená únavnosť mačky. Problémy s obličkami sa prejavujú zvýšenou potrebou piť vodu a častejším močením. Zmena farby slizníc na bledú alebo pri pečeňových komplikáciách až žltú signalizuje problém. Medzi najzrejmejšie znaky ascitu u psov patrí opuchnuté brucho. Tento opuch alebo distenzia je spôsobená prebytočnou tekutinou, ktorá sa hromadí v bruchu a spôsobuje, že pes vyzerá nafúknutý. Rovnako ako naplnenie balóna vodou spôsobí jeho roztiahnutie, brucho, ktoré sa plní tekutinou, bude väčšie a guľatejšie ako normálne. To samozrejme tiež spôsobuje nepohodlie alebo bolesť, ako aj tlak na bránicu, čo môže psovi s ascitom sťažiť dýchanie. V týchto prípadoch, keď tlak tlačí na žalúdok a bránicu, možno pozorovať dýchavičnosť a dokonca aj zvracanie. Nakoniec môže byť zaznamenaný prírastok hmotnosti v dôsledku nadmernej tekutiny v bruchu.
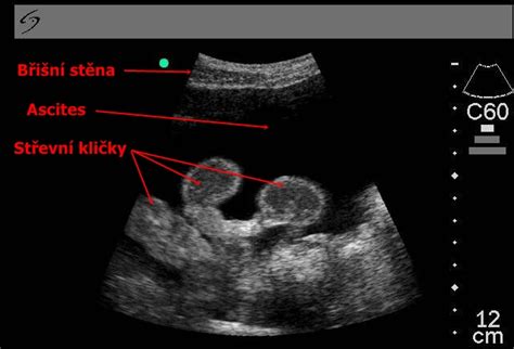
Diagnostika
Diagnostika zahŕňa klinické vyšetrenie, ultrazvuk brucha, röntgen a často aj echokardiografiu. Naše prvé kroky po príchode na kliniku zahŕňajú rýchle zhodnotenie dôležitých životných funkcií. Sledujeme dýchanie, perfúziu a srdcovú frekvenciu. Potom nasleduje detailná palpácia brucha a prípadne balotovací test. Ultrazvuk brucha mačky je kľúčovým nástrojom v diagnostike. Potvrdzuje prítomnosť tekutiny a poskytuje náhľad na štruktúry pečene, sleziny, obličiek a čriev. Táto metóda tiež umožňuje bezpečné usmernenie ihly pri abdominocentéze. Ďalej sa zameriavame na krvné testy mačky. Vykonávame kompletný krvný obraz a biochemický profil, z ktorého zahrňuje hodnotenie navyše ALT, AST, ALP, bilirubínu, albumínu, urey, kreatinínu a elektrolytov. Pri podozrení na dysfunkciu zrážania krvi meriame PT a aPTT a u starších mačiek taktiež T4. Prostredníctvom abdominocentézy získame tekutinu pre cielenú analýzu. Táto analýza ascitovej tekutiny obnáša cytológiu, kvantifikáciu bielkovín, počet buniek a albumínový gradient. Porovnávame kreatinín a draslík v ascitickej tekutine so sérom pri podozrení na uroabdomen. Pri chylóznom výpotku sa zameriavame na triglyceridy a pri FIP sledujeme viskozitu a hladiny bielkovín. Špecifické príčiny, ako sú srdcové zlyhania, vyžadujú echokardiografické hodnotenie komôr a chlopní a dopplerovskú analýzu na pľúcnu hypertenziu. Pri hepatálnych problémoch je vhodný ultrazvuk pečene a hodnotenie hypoalbuminémie. Váš veterinár vykoná úplné fyzikálne vyšetrenie a môže odporučiť vykonanie röntgenových lúčov, aby sa zistilo, či je voľná tekutina v brušnej dutine spolu s akýmikoľvek abnormalitami, ktoré by mohli spôsobiť ascites. Môžu sa tiež vykonať testy krvi a moču spolu s ultrazvukom, aby sa zistil dôvod ascitu, ak nie je zaznamenaný na röntgenovom snímku. Nakoniec je možné vložiť ihlu do brucha vášho psa, aby ste zistili, či je prítomná tekutina. Ak áno, môže byť táto tekutina analyzovaná v laboratóriu, aby sa zistilo, o aký druh tekutiny ide, a pomôže sa zistiť, odkiaľ pochádza.
How To Manage Your Pet With Ascites | Pet Health
Terapia a liečba
Intervencia začína riešením dýchacieho distressu; podanie kyslíka prostredníctvom klietky alebo masky je základným krokom, pričom monitorujeme saturáciu kyslíka v krvi. Pri zvýšenom abdominálnom tlaku, ktorý znemožňuje efektívne dýchanie, sa uchyľujeme k jemnej procedúre - abdominocentéza. V prípade akútnej starostlivosti zaujímame konzervatívny prístup aj pri administrácii infúzií. Intravenózne podávané tekutiny sa titrujú s ohľadom na perfúziu a laboratórne ukazovatele, súčasne sa vyvažujú elektrolyty. Diuretiká predstavujú fundamentálnu skupinu liekov pri liečbe ascitu, kde v akútnej fáze sa osvedčil furosemid, zatiaľ čo pre dlhodobejšiu kontrolu je preferovaná kombinácia spironolaktón furosemid mačka. Keď je podnetom pečeň či portálna hypertenzia, liečebný plán zahŕňa podporu hepatálnej funkcie prostredníctvom S-adenosylmetionín a silymarín, ako aj dodržiavanie nízkosodíkovej diéty. Pri liečbe FIP sa využívajú antivirálne látky, najmä nukleozidové analógy, ako je GS-441524. Vzhľadom na to, že tieto prípravky nie sú v EU oficiálne schválené pre veterinárne použitie, je nutná konzultácia s veterinárom ohľadne legislatívy a potenciálnych rizík. Onkologické ochorenia môžu potrebovať chirurgické zákroky alebo chemoterapiu. Protokoly CHOP sa používajú pri lymfóme. Paliatívne metódy, vrátane opakovaných abdominocentéz, môžu účinne regulovať výpotky. Liečba ascitu sa bude líšiť v závislosti od toho, čo ho spôsobilo. Niekedy bude potrebná operácia na vyriešenie príčiny, ale zvyčajne sa použijú aj rôzne lieky a špeciálne diéty. Ak chcete poskytnúť okamžitú úľavu od tlaku tekutiny, môže byť tekutina vypustená vaším veterinárom počas procedúry nazývanej abdominocentéza. Toto môže byť potrebné robiť pomerne pravidelne, ak základný dôvod ascitu nie je možné napraviť chirurgickým zákrokom, liekmi a zmenami stravy. Vypúšťanie tekutiny sa zvyčajne dá urobiť bez sedácie alebo anestézie pomocou ihly a injekčnej striekačky, ale pomáha len zvládnuť symptómy, ktoré ascites spôsobuje, nie základný dôvod. Paracentéza = terapeutická punkcia ascitu. Touto metódou sa dosiahne okamžitej úľavy, nakoľko sa dá z brucha odstrániť i niekoľko litrov.
Výživa a starostlivosť
Upravenie stravovania je kľúčové pri zvládaní ascitu. Zameriavame sa na nízkosodíkovú diétu, ktorá obmedzuje príjem soli vo všetkom, čo mačka konzumuje. Pri pečeňových problémoch sú vhodné diéty podporujúce funkciu pečene. Doporučená strava obsahuje ľahko stráviteľné proteíny a suplementy, ako sú SAMe a silymarín, ktoré majú prospiešny vplyv na pečeň. Pre mačky so srdcovými ochoreniami je nevyhnutná nízkosodíková diéta spolu s dostatočným príjmom taurínu. Omega-3 mastné kyseliny sú prospešné pri tlmení zápalu a podporujú celkovú kondíciu. V prípade, že problém tkvie v obličkách, je potrebné prispôsobiť príjem fosforu a proteínov. Krmivo navrhnuté pre problémy s obličkami, predovšetkým vlhké, stimuluje zvýšený príjem tekutín. Pri diagnostikovaných potravinových intoleranciách je riešením výber špeciálneho hypoalergénneho krmiva. Vyhnúť by sme sa mali potravinám, ktoré často vyvolávajú alergické reakcie, ako sú kuracie mäso a pšenica. Rozdelenie kŕmenia na 3 až 5 menších porcií denne môže výrazne prispieť k lepšiemu zvládaniu ascitu. Nezabúdame na pravidelné meranie telesnej hmotnosti a obvodu brucha, čo nám umožňuje pružne reagovať na zmeny stavu. Hypoalergénne krmivo bez kuracieho a pšenice zabezpečuje jasné pravidlá stravovania. Toto krmivo podporuje trávenie, nezaťažuje žalúdok a chráni kožnú bariéru. CricksyCat mačky potrebujú stabilnú diétu bez prudkých zmien. Granuly Jasper s lososom sú zdrojom kvalitných bielkovín a omega-3 mastných kyselín. Tieto látky zlepšujú kvalitu srsti a kože. Pre mačky preferujúce jemnejšie chutě ponúkame Jasper krmivo s jahňacinou. Toto krmivo je ľahko stráviteľné a udržuje pevné trávenie. Vlhké krmivo Bill s lososom a pstruhom je vynikajúcou voľbou pre mačky, ktoré uprednostňujú mokrú stravu. Vysoký obsah vody v krmive podporuje zdravie obličiek a močového mechúra. Purrfect Life stelivo z bentonitu efektívne neutralizuje zápachy a tvorí pevné hrudky. Čisté prostredie mačacej toalety výrazne prispieva k zníženiu stresu. Vytvárame rutinu, ktorá rešpektuje citlivé trávenie a súčasne zjednodušuje každodennú starostlivosť. Starostlivosť o mačku ascites si vyžaduje tiché a bezpečné prostredie. Umiestňujeme mäkké lôžko, zabezpečujeme ľahký prístup k vode, krmivu a toalete. Kŕmime menšie porcie krmiva s nízkym obsahom sodíka. Denne monitorujeme dýchanie mačka. Počas jej spánku počítame frekvenciu nádychov za minútu. Optimálna frekvencia dýchaní je 20-30/min. Na týždennej báze sledujeme hmotnosť, a vykonávame meranie obvodu brucha mačka v špecifikovanom mieste. Sledovanie zmien umožňuje rýchlu reakciu na možné problémy. Je dôležité viesť denník symptómov mačka. Zaznamenávame príjem potravy a vody, činnosť močových ciest, stolice, správanie, úroveň energie a prípadný kašeľ. Medikácia sa podáva rigorózne podľa predpisu, vrátane diuretík. Vnútorne sledujeme oblasť po abdominocentéze. Pri nejasnostiach porovnávame monitoring dýchania mačka, meranie obvodu brucha mačka a denník symptómov mačka s evidenciou z predchádzajúcich dní.

Prevencia ascitu u psov je komplexná, nakoľko existuje mnoho príčin. Najlepšou stratégiou je pravidelné veterinárne vyšetrenie a krvné testy na včasné odhalenie akýchkoľvek abnormalít. Zabezpečenie kvalitnej životnej úrovne mačky si vyžaduje dennú pozornosť. Sledujeme chuť k jedlu, pohodlie pri dýchaní a obvyklú interakciu. Spoločnými silami vytvárame rutinu, ktorá chráni energiu mačky a podporuje jej stabilitu. Chronický ascites neviede k izolácii mačky. V rámci diskusie o ascite je dôležité odlišovať mýty od faktov. Nezamieňajme si nadváhu a tekutinu v brušku našich miláčikov. Existuje nesprávne presvedčenie, že jednoduché odsatie tekutiny vyrieši problém trvalo. Abdominocentéza dočasne zmierni symptómy, ale nedokáže ošetriť základnú príčinu. Bylinky a čaje sa často vnímajú ako atraktívne riešenia, ale ich použitie nie je vždy bez rizika. Neadekvátne prírodné doplnky môžu mať negatívny vplyv na funkciu pečene a obličiek. Felínna infekčná peritonitída (FIP) je často zahalená mýtmi o nevyhnutnosti fatálneho konca. Pravda je taká, že moderné liečebné možnosti a dôkladný monitorovací plán môžu znamenať rozdiel. Použitie diuretík pri liečbe môže byť sprevádzané mylnými predstavami o ich bezpečnosti. Použitie diuretík bez adekvátnej veterinárnej supervízie je spojené s rizikom dehydratácie a problémov s elektrolytovou rovnováhou.